Unusual Etiology of Chest Pain

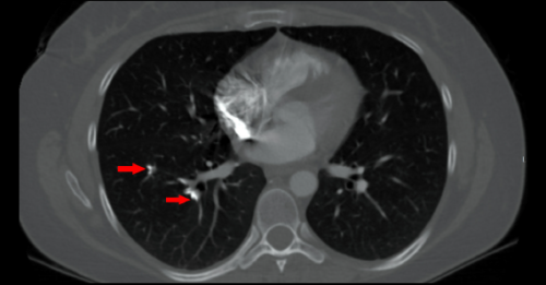
The Case A 36-year-old woman presented to the emergency department for generalized weakness. The patient stated that…