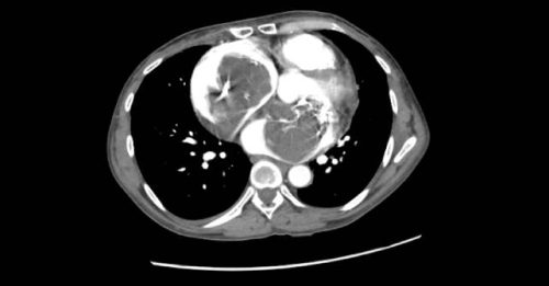
Case Report: Biatrial Myxoma in a 46-Year-Old Female

A 46-year-old female with a prior medical history of asthma presented to the emergency department with shortness…