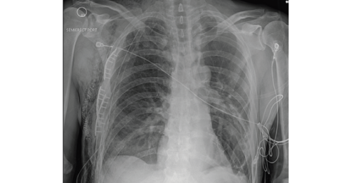
Case Report: EMS Says Flail Chest, But Is It?

Case A 58-year-old male with a history of alcohol abuse presented to the emergency department (ED) as…