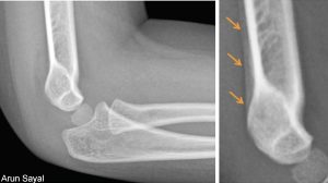
A 3-year-old girl fell while running. An X-ray the day of the fall (LEFT) showed no fracture, but her arm was splinted for possible occult fracture. A follow-up X-ray at three weeks (RIGHT) confirmed the fracture (arrows).
CASTED_March20
By Dawn Antoline-Wang
|
on March 25, 2020
|
0 Comment



No Responses to “CASTED_March20”