BELOW: Day 1 – normal
RIGHT: Week 4 – sclerosis across distal radius
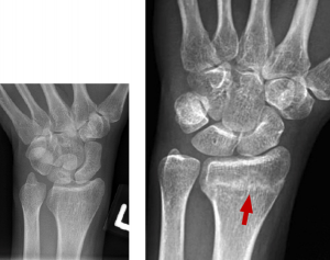
BELOW: Day 1 – normal RIGHT: Week 4 – sclerosis across distal radius
By Joseph Harrington
|
on September 18, 2018
|
0 Comment



No Responses to “BELOW: Day 1 – normal RIGHT: Week 4 – sclerosis across distal radius”