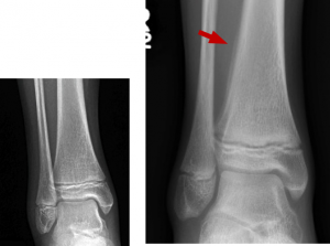
BELOW: Day 1 – normal
RIGHT: Week 3 – subtle periosteal reaction lateral aspect distal tibia
BELOW: Day 1 – normal RIGHT: Week 3 – subtle periosteal reaction lateral aspect distal tibia
By Joseph Harrington
|
on September 18, 2018
|
0 Comment



No Responses to “BELOW: Day 1 – normal RIGHT: Week 3 – subtle periosteal reaction lateral aspect distal tibia”