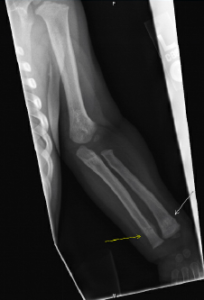
Figure 2 (LEFT): Radiograph of an arm fracture from a pediatric skeletal survey.
Figure 2 (LEFT): Radiograph of an arm fracture from a pediatric skeletal survey.
By Joseph Harrington
|
on May 16, 2021
|
0 Comment



No Responses to “Figure 2 (LEFT): Radiograph of an arm fracture from a pediatric skeletal survey.”