Logo

Log In Sign Up |  An official publication of: American College of Emergency Physicians
Navigation
  • Home
  • Multimedia
    • Podcasts
    • Videos
  • Clinical
    • Airway Managment
    • Case Reports
    • Critical Care
    • Guidelines
    • Imaging & Ultrasound
    • Pain & Palliative Care
    • Pediatrics
    • Resuscitation
    • Trauma & Injury
  • Career
    • Practice Management
      • Reimbursement & Coding
      • Legal
      • Operations
    • Awards
    • Certification
    • Early Career
    • Education
    • Leadership
    • Profiles
    • Retirement
    • Work-Life Balance
  • Compensation Reports
  • Columns
    • ACEP4U
    • Airway
    • Benchmarking
    • By the Numbers
    • EM Cases
    • End of the Rainbow
    • Equity Equation
    • FACEPs in the Crowd
    • Forensic Facts
    • From the College
    • Kids Korner
    • Medicolegal Mind
    • Opinion
      • Break Room
      • New Spin
      • Pro-Con
    • Pearls From EM Literature
    • Policy Rx
    • Practice Changers
    • Problem Solvers
    • Residency Spotlight
    • Resident Voice
    • Skeptics’ Guide to Emergency Medicine
    • Sound Advice
    • Special OPs
    • Toxicology Q&A
    • WorldTravelERs
  • Resources
    • mTBI Resource Center
    • ACEP.org
    • ACEP Knowledge Quiz
    • CME Now
    • Annual Scientific Assembly
      • ACEP14
      • ACEP15
      • ACEP16
      • ACEP17
      • ACEP18
      • ACEP19
    • Annals of Emergency Medicine
    • JACEP Open
    • Emergency Medicine Foundation
  • Issue Archives
  • Archives
    • Brief19
    • Coding Wizard
    • Images in EM
    • Care Team
    • Quality & Safety
  • About
    • Our Mission
    • Medical Editor in Chief
    • Editorial Advisory Board
    • Awards
    • Authors
    • Article Submission
    • Contact Us
    • Advertise
    • Subscribe
    • Privacy Policy
    • Copyright Information

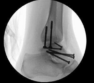
Case 1, Figure 2: 22-year-old female

By Joseph Harrington | on February 17, 2018 | 0 Comment
Share:  Print-Friendly Version

Case 1, Figure 2: 22-year-old female

You Might Also Like
  • Opinion: Call for More Female Physicians in Emergency Medicine Draws Comment about Gender Disparity in Specialty
  • U. S. Supreme Court to Hear Texas Abortion Case
  • Inconsistent Records & Insufficient Imaging Complicate Malpractice Case

Case 1, Figure 2: 22-year-old female

Current Issue

ACEP Now: May 2026

Download PDF

Read More

About the Author

Joseph Harrington

View this author's posts »

No Responses to “Case 1, Figure 2: 22-year-old female”

Leave a Reply Cancel Reply

Your email address will not be published. Required fields are marked *


*
*



Current Issue

ACEP Now: May 2026

Download PDF

Read More

Wiley
  • Home
  • About Us
  • Contact Us
  • Privacy
  • Terms of Use
  • Advertise
  • Cookie Preferences
Copyright © 2026 by John Wiley & Sons, Inc. All rights reserved, including rights for text and data mining and training of artificial technologies or similar technologies. ISSN 2333-2603