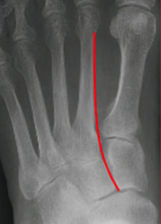
Figure 5: Normal three-column anatomy of Lisfranc complex. A(LEFT) shows the AP view. B(ABOVE) shows the oblique view. C(BELOW) shows the lateral view.
Figure 5: Normal three-column anatomy of Lisfranc complex. A(LEFT) shows the AP view. B(ABOVE) shows the oblique view. C(BELOW) shows the lateral view.
By Joseph Harrington
|
on December 13, 2017
|
0 Comment



No Responses to “Figure 5: Normal three-column anatomy of Lisfranc complex. A(LEFT) shows the AP view. B(ABOVE) shows the oblique view. C(BELOW) shows the lateral view.”