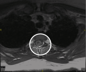
Figure 3: Thoracic MRI expressing cord edema and expansion, presumably reflecting venous congestion/hypertension. The cord appears to be scalloped due to dilated perivascular vessels.
Figure 3: Thoracic MRI expressing cord edema and expansion, presumably reflecting venous congestion/hypertension. The cord appears to be scalloped due to dilated perivascular vessels.
By Joseph Harrington
|
on December 15, 2020
|
0 Comment



No Responses to “Figure 3: Thoracic MRI expressing cord edema and expansion, presumably reflecting venous congestion/hypertension. The cord appears to be scalloped due to dilated perivascular vessels.”