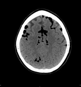
Figures 1 (ABOVE) and 2 (BELOW): CT scan with large-volume atraumatic pneumocephalus.
Figures 1 (ABOVE) and 2 (BELOW): CT scan with large-volume atraumatic pneumocephalus.
By Joseph Harrington
|
on August 18, 2020
|
0 Comment



No Responses to “Figures 1 (ABOVE) and 2 (BELOW): CT scan with large-volume atraumatic pneumocephalus.”